Preko 10 godina iskustva u
CBCT dijagnostici
Naše usluge preporučuju zadovoljni pacijenti i stomatolozi – povjerenje i kvalitet na prvom mjestu!
O nama
Preciznost i inovacija u dentalnoj dijagnostici
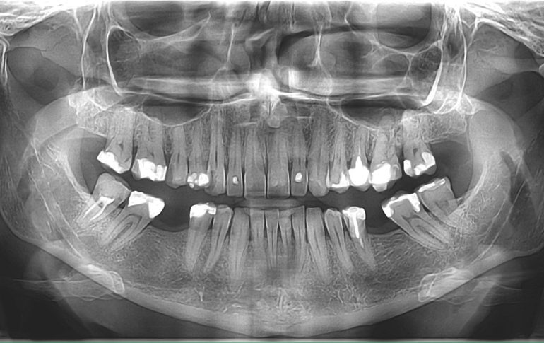
Od 2004. godine, naš centar kombinuje najmoderniju tehnologiju i stručnost kako bi osigurao vrhunsku dentalnu dijagnostiku. Fokusirani smo na preciznost, sigurnost i udobnost pacijenata, pružajući detaljan uvid u stanje zuba i vilica. S kontinuiranim ulaganjem u opremu i tehniku, postavljamo standarde u oblasti 2D i 3D snimanja u Banjoj Luci i šire.
- Najmodernija tehnologija
- Brza i sigurna dijagnostika
- Stručan i posvećen tim
PRECIZNA DIJAGNOSTIKA
Pregled naših usluga
Preciznost
Inovacija
Sigurnost
Brzina
Pouzdanost
Napredna dijagnostika
CBCT 3D Tehnologija
Naš centar koristi najmoderniju tehnologiju kako bismo pružili detaljne i precizne dijagnostičke informacije za stomatologe i pacijente. Kroz različite metode snimanja, omogućavamo tačan uvid u stanje zuba, vilica i okolnih struktura:
recenzije
Šta kažu zadovoljni pacijenti?
{"cpt":"testimonial","style":"2","columns":"3","show":"6","order":"DESC","orderby":"none"}
Prijatno osoblje i odlična usluga.
Gigo0
Odlična usluga… profesionalno, ljubazno i susretljivo osoblje… 🙂 pristupačne cijene.
Nebojša Jokić
Brzo i lako snimanje, topla dobrodošlica izuzetno profesionalnog osoblja, dobar kvalitet slike. Zahvalan sam na odličnoj preporuci mog stomatologa, preporučujem svima kojima je potrebno.
Svjetlana Jefic
Odlično i veoma profesionalno. Veoma prijatan i ljubazan čovjek. Svakako zaslužuje priznanje najboljeg u gradu BL.
Kristina Küronja Rogač
Profesionalno, brzo. Svaka preporuka.
Marko Banovic
Odlična usluga, bez čekanja i neprijatnosti. Veoma ljubazno osoblje.
Mićo Panić
novosti - edukacije - inovacije
Najnovije vijesti i informacije
{"cpt":"blog","style":"5","columns":"3","show":"6","order":"DESC","orderby":"none"}



